Receding Gum Remedies
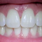
Receding gums are an oral health problem where the gum tissue that surrounds the
teeth start to tear away and the gums appear to be...
Stay Connected
Must Read
Everything you need to know about the re-reboot of yourself.
